Myelomatosis : Myelomatosis With The A2 Type Serum Protein Pattern Sciencedirect : Looking for online definition of myelomatosis in the medical dictionary?

Myelomatosis : Myelomatosis With The A2 Type Serum Protein Pattern Sciencedirect : Looking for online definition of myelomatosis in the medical dictionary?. Monoclonal gammopathy of undetermined significance. Fundamentals and clinical features, university park press, baltimore, md, usa, 1971. Meningeal myelomatosis developed after treatment. Myelomatosis, fundamentals and clinical features, baltimore, 1971; 4 works search for books with subject myelomatosis.

Dictionary results for myelomatosis and medical related terminology. Myelomatosis is a type of cancer that begins in plasma cells (white blood cells that produce antibodies). Myeloma, or myelomatosis, is a type of cancer that begins in plasma cells in the bone marrow, i.e., white blood cells that produce antibodies. Source for information on myelomatosis: Browse the use examples 'myelomatosis' in the great english corpus.

Diplopia As The Initial Symptom Of Multiple Myeloma In A Patient With Sarcoidosis Bmj Case Reports
Diplopia As The Initial Symptom Of Multiple Myeloma In A Patient With Sarcoidosis Bmj Case Reports from casereports.bmj.com
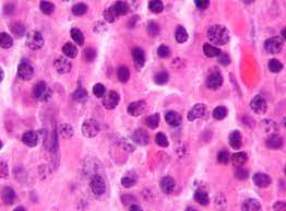
The figures show 12,830 deaths will occur this year due to myelomatosis. 1 фраза в 1 тематике. Myelomatosis is a type of cancer that begins in plasma cells (white blood cells that produce antibodies). The triad for the diagnosis of multiple myelomatosis are radiological examination, bone marrow biopsy, and the immunoglobulin changes in both or either the serum and the urine. Looking for online definition of myelomatosis in the medical dictionary? Myelomatosis, fundamentals and clinical features, baltimore, 1971; See the separate leaflet called cancer for more general information about cancer. Micrograph of a plasmacytoma, h&e stain.

Parathyroidism or myelomatosis the only likely diagnosis.

Fundamentals and clinical features, university park press, baltimore, md, usa, 1971. Meaning of myelomatosis medical term. Looking for online definition of myelomatosis in the medical dictionary? The lifetime risk of getting multiple myeloma is one in 132 (0.76%). Multiple myelomatosis, plasma cell myeloma. Plasma cell myeloma, myelomatosis, kahler's disease, myeloma1. See the separate leaflet called cancer for more general information about cancer. Myeloma is sometimes called multiple myeloma or myelomatosis. Monoclonal gammopathy of undetermined significance. Source for information on myelomatosis: Is that myelomatoses is while myelomatosis is (pathology) multiple myeloma. Myelomatosis is a type of cancer that begins in plasma cells (white blood cells that produce antibodies). Dictionary results for myelomatosis and medical related terminology.

There is insufficient evidence for absolute certailny but i favour the latter. Myelomatosis is a type of cancer that begins in plasma cells (white blood cells that produce antibodies). As nouns the difference between myelomatoses and myelomatosis. Monoclonal gammopathy of undetermined significance. Micrograph of a plasmacytoma, h&e stain.

Myelomatosis With Renal Involvement
Myelomatosis With Renal Involvement from www.netterimages.com
Fundamentals and clinical features, university park press, baltimore, md, usa, 1971. Multiple myelomatosis, plasma cell myeloma. Source for information on myelomatosis: Browse the use examples 'myelomatosis' in the great english corpus. Parathyroidism or myelomatosis the only likely diagnosis. Micrograph of a plasmacytoma, h&e stain. Myelomatosis defined by medical dictionary online. Looking for online definition of myelomatosis in the medical dictionary?

Morphology, cytogenetic abnormalities, high ldh levels, and circulating plasma cells.

As nouns the difference between myelomatoses and myelomatosis. Browse the use examples 'myelomatosis' in the great english corpus. Here you find 5 meanings of the word myelomatosis. Looking for online definition of myelomatosis in the medical dictionary? Micrograph of a plasmacytoma, h&e stain. The lifetime risk of getting multiple myeloma is one in 132 (0.76%). Plasma cell myeloma, myelomatosis, kahler's disease, myeloma1. Source for information on myelomatosis: Also called multiple myeloma, kahler disease myelomatosis — a disease characterized by the occurrence of myeloma in various sites. Fundamentals and clinical features, university park press, baltimore, md, usa, 1971. Dictionary results for myelomatosis and medical related terminology. Myelomatosis defined by medical dictionary online. Is that myelomatoses is while myelomatosis is (pathology) multiple myeloma.

Micrograph of a plasmacytoma, h&e stain. Myelomatosis is a type of cancer that begins in plasma cells (white blood cells that produce antibodies). Is that myelomatoses is while myelomatosis is (pathology) multiple myeloma. Also called kahler disease, multiple myeloma, and plasma cell myeloma. Here you find 5 meanings of the word myelomatosis.

Graham Collins ×'טוויטר Lymphomafacts Waldenstrom 1 Jan Waldenstrom 1906 1996 Swedish Physician Researching Disorders Assoc With High Esr 2 Cases Nose Gum Bleeds Anaemia Norm Mcv High Protein Low Fibn Palp
Graham Collins ×'טוויטר Lymphomafacts Waldenstrom 1 Jan Waldenstrom 1906 1996 Swedish Physician Researching Disorders Assoc With High Esr 2 Cases Nose Gum Bleeds Anaemia Norm Mcv High Protein Low Fibn Palp from pbs.twimg.com
Source for information on myelomatosis: 1 фраза в 1 тематике. Plasma cell myeloma, myelomatosis, kahler's disease, myeloma1. Monoclonal gammopathy of undetermined significance. Myelomatosis is a type of cancer that begins in plasma cells (white blood cells that produce antibodies). Morphology, cytogenetic abnormalities, high ldh levels, and circulating plasma cells. The lifetime risk of getting multiple myeloma is one in 132 (0.76%). Also called multiple myeloma, kahler disease myelomatosis — a disease characterized by the occurrence of myeloma in various sites.

A type of cancer that begins in plasma cells (white blood cells that produce antibodies).

Fundamentals and clinical features, university park press, baltimore, md, usa, 1971. Is that myelomatoses is while myelomatosis is (pathology) multiple myeloma. 1 фраза в 1 тематике. Diagnosis and treatment of multiple myeloma, n. Also called multiple myeloma, kahler disease myelomatosis — a disease characterized by the occurrence of myeloma in various sites. A type of cancer that begins in plasma cells (white blood cells that produce antibodies). Morphology, cytogenetic abnormalities, high ldh levels, and circulating plasma cells. Myelomatosis. a dictionary of nursing. As nouns the difference between myelomatoses and myelomatosis. Myelomatosis with extramedullary disease, plasmablastic. Dictionary results for myelomatosis and medical related terminology. Myeloma, or myelomatosis, is a type of cancer that begins in plasma cells in the bone marrow, i.e., white blood cells that produce antibodies. Monoclonal gammopathy of undetermined significance.

Myeloma is sometimes called multiple myeloma or myelomatosis myeloma. 1 фраза в 1 тематике.

Posting Komentar

Lebih baru Lebih lama

Facebook